

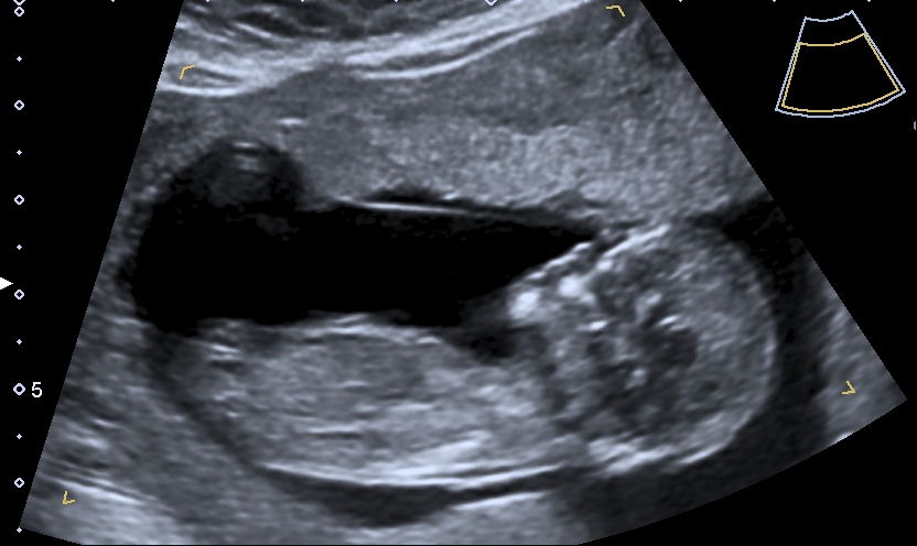
The next few days were really difficult, Nathan had to take time off work as I couldn’t cope with the school runs, I spent the weekend not doing a lot. Just trying to get as much fluid in me as I could manage. On the Sunday I went to the local small hospital in the hope that something would be done but no joy, they made a few phone calls but the end result was the same, “go home and drink more!” I shouted at her, I can’t, I’m doing everything I can but this is beyond just drinking more, why won’t anyone listen to me!? So again in tears I went home and drank more! On the Monday we had our scan. We hadn’t realised that children weren’t allowed in the room with you so to start with I had to go in alone as we had Paisley with us. I went in and laid on the bed, there it was our beautiful baby, having a little wriggle. Heart beating and legs kicking. The baby didn’t want to have photos taken and kept turning away and then when she was trying to measure to date the pregnancy – the baby kept tucking it’s chin into its chest, she had me jumping and shaking my hips to try and get the baby to change position but no joy so I was told to empty my bladder, I giggled as I walked through the waiting room to the toilet, Nathan had been waiting to know if everything was ok, I told him it was but the baby was being naughty and not cooperating so I had to wee and see if that would help. I went back into the room, this time Nathan and Paisley came too. She finally got all the pictures she needed, I asked about the sac and she said it was completely regular and she would never had known it hadn’t been if I hadn’t told her, this was a massive relief! I asked if she could see anything wrong with the baby and she said no, the baby was fine and she showed us the heart beating away, I thought to myself I bet it’s a boy, I’m sure the girls heartbeats were faster than that (I wish I had said it and not just thought it!) Next she showed us the side profile, the baby’s face looked flat, I thought it was just a funny angle (another thing I wish I had questioned) we were measuring at 12weeks and 1 day, our official due date was 02-06-19! We were in “the safe zone” I really was having a baby, we made it past 12 weeks, we could now make it Facebook official! And we did, as soon as we left the hospital! We were so happy, our cheeky, naughty, beautiful little baby! Already fitting in so well with our other cheeky children!