Blog

Tonight I belong to my grief.

So tomorrow I should be doing Pregnancy, Loss, Grief And Beyond, Part 8.

I won’t be, normally I sit down the night before and write the blog to make sure it’s ready to go live the next day. I can’t do it tonight, I hurt to much and the next blog will one of the last blogs before that awful day they told me she’d died, blogging up until now has been remembering the bliss of her being alive……. I’ve enjoyed it, but now it’s getting close to the dark bits. It hurts so much.

I’m sorry if you’re following her journey, I will continue with it, I want to share it but tonight I need a break from raising awareness. Tonight I belong to my grief………..

Pregnancy, Loss, Grief And Beyond…….. To be continued I hope you all understand xxx

Pregnancy, Loss, Grief And Beyond, Part 7.

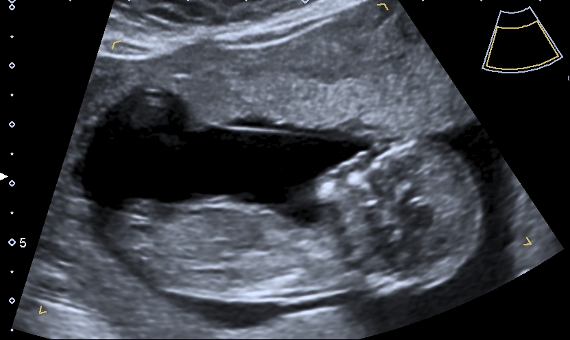
The next few days were really difficult, Nathan had to take time off work as I couldn’t cope with the school runs, I spent the weekend not doing a lot. Just trying to get as much fluid in me as I could manage. On the Sunday I went to the local small hospital in the hope that something would be done but no joy, they made a few phone calls but the end result was the same, “go home and drink more!” I shouted at her, I can’t, I’m doing everything I can but this is beyond just drinking more, why won’t anyone listen to me!? So again in tears I went home and drank more! On the Monday we had our scan. We hadn’t realised that children weren’t allowed in the room with you so to start with I had to go in alone as we had Paisley with us. I went in and laid on the bed, there it was our beautiful baby, having a little wriggle. Heart beating and legs kicking. The baby didn’t want to have photos taken and kept turning away and then when she was trying to measure to date the pregnancy – the baby kept tucking it’s chin into its chest, she had me jumping and shaking my hips to try and get the baby to change position but no joy so I was told to empty my bladder, I giggled as I walked through the waiting room to the toilet, Nathan had been waiting to know if everything was ok, I told him it was but the baby was being naughty and not cooperating so I had to wee and see if that would help. I went back into the room, this time Nathan and Paisley came too. She finally got all the pictures she needed, I asked about the sac and she said it was completely regular and she would never had known it hadn’t been if I hadn’t told her, this was a massive relief! I asked if she could see anything wrong with the baby and she said no, the baby was fine and she showed us the heart beating away, I thought to myself I bet it’s a boy, I’m sure the girls heartbeats were faster than that (I wish I had said it and not just thought it!) Next she showed us the side profile, the baby’s face looked flat, I thought it was just a funny angle (another thing I wish I had questioned) we were measuring at 12weeks and 1 day, our official due date was 02-06-19! We were in “the safe zone” I really was having a baby, we made it past 12 weeks, we could now make it Facebook official! And we did, as soon as we left the hospital! We were so happy, our cheeky, naughty, beautiful little baby! Already fitting in so well with our other cheeky children!

Pregnancy, Loss, Grief And Beyond, Part 6.

This is where it starts getting difficult for me, the sickness is horrendous, I felt so weak and I was having heart palpitations, it was taking me 3 times as long to do the school run as I kept having to stop for fear is pass out. Back and forth to the doctors, every time the same thing, OBS are good, go home – try to rest and come back if things don’t improve. Eventually they sent me in to hospital, again my OBS were good, they took a wee sample and that came back with “a lot of sugar in it” this lead them to believe it might be gestational diabetes but no-one really explained it to me, they said I was a little dehydrated and should try to drink more. They kept me in over night and put a heart monitor on me and a line in my arm incase I needed fluids or antibiotics. They sent me for a chest x-ray (this made me nervous but they assured me it was safe and wouldn’t affect the baby!) They took bloods. Everything came back ok. The next morning they said I needed to be tested for gestational diabetes and I could book that through my GP. They told me my chest was clear of blood clots but I was still dehydrated so I should go home and drink more. I asked them why they hadn’t given me fluid overnight to help with this, they answered “we don’t like to put a line in as it heightens the risk of infection and that’s bad especially in pregnancy” so I pointed out that they had put a line in this taking the risk without doing anything with it! She looked embarrassed and said “oh, I don’t know why they didn’t give you fluids, they should have done that. I’ll get someone to take that out for you so you can go home” I asked why they couldn’t put me on fluids now, just to give me a headstart on rehydrating myself and she said……..”no it’s ok, just go home and drink more and rest”…………………… I couldn’t believe my ears, I got angry. “If it was that simple then I wouldn’t be here would I!? I don’t understand why you won’t help me? There is something wrong and I’m pregnant why won’t you do anything?” She said that they couldn’t find a reason for me feeling the way I did and that they we’re not worried about the baby, her exact words ” we wouldn’t do anything at this gestation anyway, you need to rest and go for you scan on Monday, they will be able to tell you if the baby is ok” at this point my blood is boiling, how can they not care!? I looked her in the eye and said “that’s great, thanks for nothing!, You best hope nothing happens to my baby or I’ll make sure you get struck off!”

I went home, I tried to drink more, I cried a lot. Why wouldn’t anyone listen to me? I kept telling them there was something wrong, they just said I was panicking because I’ve lost babies before and I suffer with my mental health!

I’ll never know if fluids could have made a difference but I’ll always wonder…………..

Pregnancy, Loss, Grief And Beyond, Part 5

At 10 weeks the fears started creeping in again, I felt so sick and faint all the time, I was struggling to do the school run because I felt so faint and my heart would pound and flutter, I couldn’t eat or drink properly. I tried everything, ginger biscuits, sea bands, mint, anti-sickness medication – if someone said it would help I tried it! Nothing worked and it was getting worse and the only thing I could do was keep going back to the doctor which meant more walking that made me feel even worse, I felt so weak and to top it off i had the beginnings of S.P.D! Everyone kept saying nothing was wrong I just needed to drink more and get some rest, as if that could happen! I tried drinking more, I did drink more but it made no difference at all!

I was an emotional mess flipping from crying my eyes out feeling helpless to fits of rage and wanting to hurt everyone! I had my first midwife appointment at 11 weeks so hopefully that would help!?

It didn’t help, she was very nice and took special note of my mental health, she told me when my next appointment was due but said she was happy to see me whenever I wanted if I needed extra appointments to listen to the heartbeat once I’d reached 16 weeks then she was happy to do that, whatever I needed to help with my mental health. For now all I needed was my 12 week scan so I could see my baby, this all happened in November, my first child would have been 16 on the 15th had I not miscarried, I was finding this year particularly difficult, with that and my fears about Boris (this bump) I was an anxious, tearful and angry mess!

Pregnancy, Loss, Grief And Beyond, Part 4.

After a long and emotional two weeks we are finally at our 8 week scan, I am terrified I feel sure that there’s something wrong, it’s the same lady scanning us. She didn’t wait around, she could see how anxious I was. I felt sick (more than the usual morning sickness) and then there it was, our beautiful baby with the beginnings of little limbs and a strong heartbeat, measuring at 8 weeks and 3 days. I was amazed, this sudden rush of relief. She told us that the baby was growing well and the sac was much more regular and was no longer cause for concern. We didn’t need to come back to this clinic again and I would be seen for my 12 week scan as normal, I was slightly told off as I still hadn’t informed a midwife of my pregnancy, she was concerned about my mental health. I promised I would go straight home and book an appointment, I just couldn’t face it as I was sure we would get bad news today. I finally felt like this baby was going to happen, complete excitement and joy!

We left the hospital that day – cheeks hurting from the grin on our face. We decide we would tell people about our news, first stop, Nathan’s mum. We showed her the scan photo, she was so happy she welled up. It felt so amazing to be able to share our news and our excitement with people.

Next stop, Nathan’s dad. He has Parkinsons and dementia so he’s in a care home, when we got there he had got himself into a bit of a state and was upset. Then we told him our news and he was so happy, he kept thanking us!

On to see my older sister (I had already told my younger sister) we arranged to meet her for lunch and put the scan photo in her menu. She cried when she saw it, another happy relative! This was going well. I couldn’t wait to tell my eldest daughter.

I arranged to go to my dad’s that evening to tell them but first I had to get Londyn (my eldest) from school. She came out looking fed up, I asked her what was wrong and she told me that the other kids weren’t listening properly, I said “well you think that’s bad, we’ve been at the hospital today” she asked why so I told her we needed to see the baby and showed her the scan. She was over the moon, she told me off for keeping it from her and then burst into tears of happiness and repeatedly thanked me for giving her another sibling. We told her she could tell grandma and granddad and set off to see them.

Dad wasn’t home from work yet, Londyn had put the scan picture in her book and was itching to get it out. Eventually he got home and we all sat at the table and Londyn rushed to show them, they were excited. I was by this point pretty knackered, it had been a very long and emotional day – but it was good emotions, excitement, contentment and completely in love with my little growing family!

So we decided as Londyn now knew that we wouldn’t hide it anymore (not that we had much of a choice with the size of my bump) we weren’t going to make it Facebook official until we had a 12 week scan picture but we wouldn’t hide it.

Pregnancy, Loss, Grief And Beyond Part 3.

S

So I was going to stay calm and wait the next appointment………… Yeah, that didn’t happen.
Two days after my scan I found myself phoning the early pregnancy assessment clinic (Epac) to speak to the lady who done my scan, I just wanted her to explain it all to me again and see if there was anything I could do to help the baby’s chances. I was in tears! She was so lovely though, she went through it all with me again, I asked questions and she answered them as best she could. The main thing I wanted to know was could my baby make it? The answer was yes, she said that the baby looked very much as it should, the heartbeat was present and she had no concerns there, I had to go for another scan because they wanted to see that the baby was ok and not that they were expecting me to lose it. In here mind there was nothing wrong with my baby and she wanted another look so she could keep it that way! Such a relief! I’m mean the relief wouldn’t last long because I couldn’t shift the feeling that something was wrong. But for that day at least, I was enjoying being pregnant, I was relaxed and taking photos of my bump and sending them to Nathan. I was so big already, how would we hide the pregnancy for another 8 weeks!?

Pregnancy, Loss, Grief And Beyond Part 2

W

We’re another two weeks into the pregnancy, Paisley had recovered from the hand, foot and mouth, her condition is under control now that we have the right stuff to treat her, I had managed to avoid getting a tempature! All in all things were looking good! We were so excited about the baby, we named the bump Boris, we kept talking about him Infront of the kids, luckily they thought it was someone we know and not our bump name. I had a massive wobble the night before our 6week scan, I told Nathan not to bother coming to the scan, I said they would’t find anything anyway. I don’t know what it was but something just didn’t feel right! My boobs didn’t hurt – I’m sure they hurt at my 6week scans with the girls! I told a friend about the baby, I told her things felt different and I’m scared, she thought the baby was a boy and that’s why it felt different and that I was panicking because the two I lost before the girls. It was a difficult year last year, my eldest should have been 16 on the day we turned 12 weeks and it was 10 years ago that year that I lost the ectopic pregnancy. That thrown in with my poor mental health during my pregnancy with Paisley and all the extra pregnancy hormones = I was a massive scared mess! Anyway we went to our scan feeling calmer than I had the night before, they asked the usual questions, about my previous pregnancies, they asked how the ectopic was treated, I responded “like cancer” and broke down into tears! I gathered myself and got on the bed, the lady was so kind, she told us straight away that the baby was ok and in my womb! I cried again, I was so relieved. She turned the screen and talked us through the scan, we were measuring a bit earlier than we thought we were but that didn’t count at the early scans so we didn’t bother ourselves with it. Then she told us there was a slight abnormality with the shape of the sac, it might be nothing but they needed us to come back in two weeks to check how the baby’s growing and that if I experienced and bleeding I was to go straight in. The baby’s sac was irregular and that may have caused problems meaning the baby wouldn’t grow and we would lose it. We booked our appointment for two weeks time and were told to make a midwife appointment so they could start supporting me with my mental health.

I didn’t take it all in at the time, I went home and had a google and read loads of stories about irregular sacs becoming regular and also lots of stories about it ending in miscarriage! I felt surprisingly calm about it, I have always been told that the sicker you feel during pregnancy, the healthier the baby and my goodness did I feel sick! Trying to hide this pregnancy from the girls was proving very difficult already. I wasn’t going to panic, the baby was in my womb and had a heartbeat…… Or at least that’s what I told myself.

Pregnancy, Loss, Grief And Beyond Part 1.

8 weeks leading up to finding out we we’re pregnant with Nayely we were in and out of hospital with my middle daughter, she was 16 months old and her blood sugar levels kept dropping, Nathan’s son is type 1 diabetic so we knew the signs of low blood sugars. I told the hospital time and again that she was having hypos ( low blood sugar levels) but they wouldn’t listen to me, eventually they checked and it was confirmed, she had key tones and was hypoglycemic, as I had suspected she was suffering with ketotic hypoglycemia, an illness she would grow out of but it needed monitoring none the less. On our most recent visit to hospital Paisley had contracted hand foot and mouth disease, this was potentially life threatening to unborn children and I was a day or two late so on September 22nd 2018 we decided to do a pregnancy test, if I was pregnant and I contacted the illness then at least we could try to protect the baby by keeping my tempature at a safe level! We picked up a pregnancy test on our way home from hospital and as soon as we got home I took the test, my husband said to me, I’ll never forget it, “we’ll know in a few minutes!” I leaped down the stairs, ” a few minutes?, Try a few seconds!” The test had come up positive immediately! I couldn’t believe our luck, we were so happy, another beautiful child to add to our family! Now all we needed to do was make sure I didn’t get a tempature and wait for our EPAC appointment (I’ve had a miscarriage and ectopic previously so they scan me at 6 weeks as a precaution) I was already 4 weeks pregnant so it wasn’t long to wait! We were over the moon!, We couldn’t believe we were being blessed with another child!

Our Journey Of Pregnancy, Loss, Grief And Beyond

I would like to take you on a journey, our journey, my husband, my eldest daughter, my middle daughter and my angel daughter.

I was looking through the media platform I use for images and quotes, I wanted to do a piece on how baby loss affects the whole family, not just mum and dad but siblings, grandparents, aunts, uncles and cousins – the whole family! I was shocked to find that when I was looking for things for siblings and grandparents I really struggled to find anything – there was plenty for the loss of a child who had made it through pregnancy and lived for some years but nothing for for the loss of a baby during pregnancy, birth or soon after birth.

So I thought I’d take you on my own journey to show how pregnancy loss affected our household, not just myself and my husband but the whole household and immediate family. People say how we lost Nayely early, like that makes it easier. I want to show people that it may have only been 16 and a half weeks of pregnancy but a lot happens in that short time, and even if I was only 4 months in – the journey with our daughter was much longer, she may be gone but her journey continues…………

Every day I will take you through Nayely’s journey one step at a time, one memory to the next until we get the present day, I want the world to see how this journey has impacted on us all, I’ll start tomorrow from the weeks leading up to our positive test result. I’ll share images where possible.

This is our journey of pregnancy, loss, grief and beyond.

Think before you speak

There’s a million things you shouldn’t say to a grieving parent, there’s a million different forms of grieving parents, parents who lost their child in pregnancy, during birth, shortly after birth, as an infant, to an illness/disease, in an accident……… The list goes on, the one thing we all share is that we are parents living without our child and we are all subjected to “things you shouldn’t say” most people don’t mean to offend, they don’t know what to say. I’m a grieving parent because my daughter died during pregnancy and these are the top five things I wish people hadn’t said to me. Please add yours to the comments, let’s help people know what to and what not to say.

#1. When people ignored us and even crossed the street to avoid us because they didn’t know what to say – if you don’t know what to say then just say hello, it’s better than being treated like we’re contagious.

#1.1 when I said how much it hurt that people I had known for decades were ignoring us and I was told “it’s difficult for them, people don’t know what to say” ………… It’s difficult for them??? Well it’s a walk in the park for me, I mean my baby’s laying in a mortuary when she should be safe in my womb, but I understand, it’s difficult for them.

#2. “It just wasn’t meant to be.” That is ridiculous, of course she was meant to be I conceived didn’t I!? If she wasn’t meant to be then she wouldn’t have been – but she was, she just didn’t make it.

#3. “You can always try again” well that’s alright then, it doesn’t matter that my daughter is dead because I still bleed every month so I can just replace her!

#4. “At least you’ve got the girls” really!? I already had the girls, I fell pregnant again again because I wanted more children. Losing their sister has impacted on them as well and now I’m supposed to put weight on their tiny shoulders to pull me through my grief.

#5. “It will get easier in time!” Don’t fucking lie to me, it doesn’t get easier, I lost my first angel 17 years ago – it still hurts like no pain I can describe. I’ve got used to the pain, I’ve learnt to live with the emptiness but it’s never got better because my baby is still dead, people get bored of listening to you and so you speak about it less and then they assume it’s got better but it hasn’t, I just suffer silently now.

That’s my top 5, but honestly I could go on forever. I know people don’t mean any harm when they say these things, I don’t mean to be harsh with my response!……. I just thought we could all share our thoughts then we could educate people on what to say to people in our situation or more what not to say! I think the biggest thing for me is if you don’t know what to say, just say hello, offer a sympathetic smile or a little nod. It goes a long way.

I’ll look forward to reading your comments, head over to our Facebook page to see what other people have to say on the matter. Just search for Nayely Adelpha Foundation